Nuestros servicios
DISEÑO DE SONRISA EN BOGOTÁ
¿Qué es el Diseño de sonrisa?

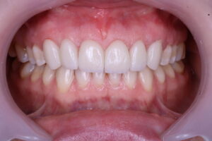
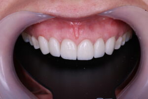
El diseño de sonrisa es un enfoque especializado en odontología estética que busca mejorar la apariencia de la sonrisa de una persona.
Este proceso personalizado puede incluir una variedad de procedimientos, como blanqueamiento dental, corrección de maloclusiones con ortodoncia, colocación de carillas dentales, restauraciones dentales, implantes dentales, entre otros. El objetivo es crear una sonrisa atractiva y natural que se adapte a las características faciales y las preferencias del paciente.
En nuestra clínica de estética dental en Bogotá, cada tratamiento de diseño de sonrisa es personalizado para satisfacer tus necesidades y objetivos. Nuestro enfoque integral aborda aspectos como color, forma y alineación dental, garantizando una sonrisa armoniosa y natural.
Beneficios del diseño de sonrisa
- Mejora la estética dental.
- Aumenta la confianza y seguridad en uno mismo.
- Corrige imperfecciones dentales, como manchas, fracturas o mal alineamiento.
- Proporciona una sonrisa más brillante y atractiva.
- Mejora la función masticatoria y la salud dental en general.





Proceso de diseño de sonrisa
El proceso de diseño de sonrisa comienza con una evaluación exhaustiva de la condición dental del paciente.
La Dra. Amdie Chirinos en Bogotá, con su amplia experiencia, analizará la estructura de los dientes, su forma, color y posición. A partir de ahí, se desarrollará un plan personalizado que puede incluir tratamientos como blanqueamiento, colocación de carillas dentales o alineación de dientes con ortodoncia.
Personalización del diseño de sonrisa
Cada persona tiene características únicas que deben ser consideradas para lograr resultados naturales y adecuados a su apariencia facial y estilo de vida. La Dra. Amdie Chirinos, reconocida en Bogotá por su enfoque individualizado, trabaja estrechamente con cada paciente para comprender sus expectativas y necesidades. A través de una evaluación completa y detallada, se diseñan soluciones personalizadas

Nuestra experiencia en Bogotá
Conoce la excepcional trayectoria de la Dra. Amdie Chirinos, una destacada experta en diseño de sonrisa en Bogotá. Con más de 10 años de experiencia en el campo de la odontología estética, la Dra. Chirinos se ha convertido en una referencia para aquellos que buscan mejorar su sonrisa en la capital colombiana.
Dra. Amdie Chirinos y su trayectoria
La Dra. Amdie Chirinos cuenta con una formación académica sólida y una amplia experiencia en el campo de la odontología estética. Su compromiso con la excelencia y su pasión por brindar resultados impecables han permitido a la Dra. Chirinos destacarse como una de las profesionales más destacadas en el diseño de sonrisa en Bogotá.
Preguntas frecuentes sobre Diseño de Sonrisa
El costo de un diseño de sonrisa en Bogotá puede variar dependiendo de los tratamientos específicos necesarios. Agenda una cta con la Dra. Amdie
Depende de la necesidad del paciente. El proceso puede durar desde algunas semanas hasta varios meses, e incluso más en casos más complejos. La mejor manera de obtener una estimación precisa es programar una consulta.
- Diseño de sonrisa no invasivo
- Diseño de sonrisa digital
- Diseño de sonrisa complejo
- Diseño de sonrisa por ortodoncia
Los pacientes ideales para este procedimiento son aquellos que presentan decoloración, rotura de dientes y apiñamiento.






